ABSTRACT:
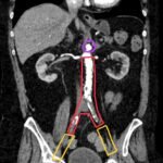
Aortoiliac occlusive disease (AOD) is a manifestation of peripheral arterial disease characterized by stenosis or occlusion of the distal aorta and iliac vessels. Advanced disease may present with symptoms of claudication to the buttock and thighs, erectile dysfunction, and absent or diminished femoral pulses bilaterally. Here, we discuss a case of a 71-year-old male who presented with acute bilateral lower extremity pain and weakness. Pulses were undetectable bilaterally at the groin prompting emergent imaging and vascular surgery consultation due to the suspected diagnosis of AOD. The patient was taken for bilateral femoral artery cut downs with embolectomy. The patient made an impressive recovery with preservation of motor function of lower extremities. In this case report we discuss pertinent workup and management of a patient suspected to be suffering from AOD.
Topics:
Vascular, arterial thrombosis, limb ischemia, aortoiliac arterial thrombosis, Leriche syndrome, peripheral arterial disease.




