History of present illness:
A 24-year-old male was brought in by paramedics status post motor vehicle collision into an electric pole and tree at high speed. The patient was an unrestrained driver who required extrication. The patient complained of left hip pain, left foot pain, and difficulty extending his bilateral lower extremities. He denied numbness or tingling to his lower extremities. The patient had normal vitals; his bilateral lower extremities were held in flexion at the hips, but otherwise had no obvious injuries. The patient’s pelvis was stable with palpable distal pulses and intact motor and sensory function of his distal lower extremities.
Significant findings:
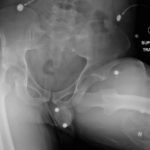
The initial radiograph of the pelvis revealed bilateral hip dislocations. Small bony fragments were noted in the right hip joint, suggestive of an underlying fracture. The sacroiliac joints and the pelvic ring were intact. In the emergency department, bilateral hip reductions were performed using the Captain Morgan technique.1 The post-reduction film showed reduction of the bilateral hip dislocations with extensive comminuted and displaced fractures of the right and left acetabula.
Discussion:
Bilateral hip dislocations are extremely rare, occurring in only 1% of all hip dislocations,2 and require immense force, typically occurring in MVCs (74%).3-7 Associated injuries include fracture of the acetabulum or femoral head, sciatic nerve damage, and obstruction of the blood supply to the femoral head.8 X-ray imaging and CT scans are used to assess the injury and to detect intra-articular fragments.3 Definitive treatment is achieved by closed reduction if possible; otherwise open reduction is utilized.9 Post-reduction therapy includes a non-weight-bearing period of time. Complications include avascular necrosis of the femoral head, osteonecrosis, and posttraumatic arthritis, the occurrence of which can be decreased by early reduction.4,10-12 This patient underwent bilateral closed hip reductions in the ER in conjunction with orthopedic surgery and underwent operative management of his pelvic fractures at a later date.
Topics:
Posterior hip dislocation, dislocation reduction, pelvis, radiograph, trauma.
References:
- Hendey W, Avila A. The Captain Morgan technique for the reduction of the dislocated hip. Ann Emerg Med, 2011;58(6):536-540. doi: 10.1016/j.annemergmed.2011.07.010
- Janzen L, Munk L, Connell G, et al. Bilateral traumatic posterior hip dislocation: CT findings. Australas Radiol, 1995;35(3):264-265.
- Cobar A, Cahueque M, Bregni M, Altamirano M. An unusual case of traumatic bilateral hip dislocation without fracture. J Surg Case Rep. 2017(5):rjw180. doi: 10.1093/jscr/rjw180
- Buckwalter J, Westerlind B, Karam M. Asymmetric bilateral hip dislocations: a case report and historical review of the literature. Iowa Ortho J. 2015;35:70-91.
- Pietrafesa CA, Hoffman JR. Traumatic dislocation of the hip. JAMA. 1983;249(24):3342-3346. doi: 10.1001/jama.1983.03330480048029
- Sneath RJ, Morgan NP. Bilateral traumatic anterior dislocation of the hip joint. J Accid Emerg Med. 1997;14(6):391.
- Lima LC, Nascimento RA, de Almeida VMT, et al. Epidemiology of traumatic hip dislocation in patients treated in Ceará, Brazil. Acta Ortopedica Brasileira. 2014;22(3):151-154. doi: 10.1590/1413-78522014220300883
- Sanders S, Tejwani N, Egol KA. Traumatic hip dislocation – a review. Bull NYU Hosp Jt Dis. 2010;68(2):91-96.
- Lo B. Asymmetrical bilateral hip dislocation. West J Emerg Med. 2013;14(5):452. doi: 10.5811/westjem.2013.2.15968
- Hougaard K, Thomsen PB. Coxarthrosis following traumatic posterior dislocation of the hip. J Bone Joint Surg Am. 1987;69:679-683.
- Sahin, V, Karakaş, ES, Aksu S, Atihan D, Turk CY, Halici M. Traumatic dislocation and fracture-dislocation of the hip: a long-term follow-up study. J Trauma. 2003;54(3):520-529. doi: 10.1097/01.TA.0000020394.32496.52
- Abdulfattah Abdullah AS, Abdelhady A, Alhammoud A. Bilateral asymmetrical hip dislocation with one side obturator intra-pelvic dislocation. Int J Surg Case Rep. 2017;33:27-30. doi: 10.1016/j.ijscr.2017.02.012




