Unravelling the Mystery of a Continuous Coil: A Case Report

ABSTRACT:

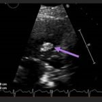
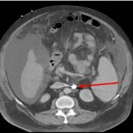
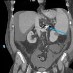
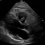
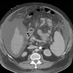
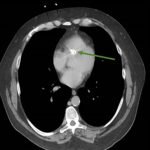
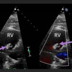
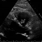
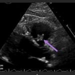
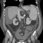
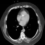
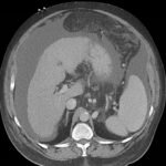
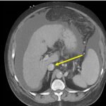
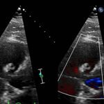
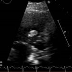
Endovascular coil embolization continues to become a more frequent modality of addressing hemorrhage and bleeding in patients. Migration refers to the coil unraveling or moving from the original embolization site. Migration of a coil is a known complication which can lead to serious consequences based on where the coil migrates. Despite increasing efforts to improve safety and technique, the risk of migration remains. We present a case of an embolization coil that migrated to the right ventricle, which was incidentally found roughly 2 months after undergoing an interventional radiology procedure for gastric variceal bleeding. The patient presented to the emergency department with dyspnea and abdominal pain. Unique images were obtained during his visit and in subsequent follow-up. As use of vascular embolization coils continues to become more commonplace, understanding the risks and complications of these procedures remains an important aspect of providing care for patients once they have left the interventional radiology suite. Coil migration should be a differential to consider in patients who present to the emergency department with signs or symptoms of arrhythmia or pulmonary embolism who have undergone a coil embolization procedure.

Topics:

Case report, coil embolization, radiology.

Scroll to Top