ABSTRACT:
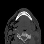
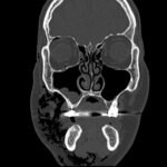
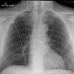
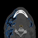
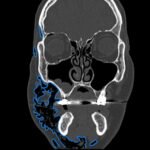
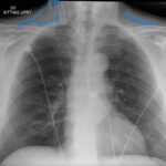
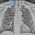
Subcutaneous emphysema (SE) is a rare but significant complication following dental procedures characterized by the presence of air in the subcutaneous tissue. This case report presents a 67-year-old male who developed right-sided facial swelling after tooth extraction, a procedure executed with high-power dental tools. Clinical findings included facial swelling and crepitus with no lip involvement, differentiating SE from an allergic reaction and hematoma. Diagnostic imaging through computed tomography (CT) and chest X-ray confirmed SE, showing diffuse subcutaneous air in facial and neck soft tissues. Initial management in the emergency department (ED) involved administration of antihistamines, corticosteroids, antibiotics, and otolaryngology (ENT) consultation with close monitoring for airway compromise. This case underscores the importance of including SE in differential diagnoses for post-dental procedure swelling, the effectiveness of CT imaging in SE identification, and the importance of early detection and treatment to prevent severe complications like respiratory and cardiac issues.
Topics:
Subcutaneous emphysema; facial swelling; computed tomography (CT); dental procedure; emergency medicine.










