History of present illness:
A 12-year-old female with no past medical history presented with abdominal pain for three months. The pain was intermittent, located at the epigastric region, non-radiating, fluctuating intensity up to 8/10, and had worsened over the past month. She did not have fever, nausea, vomiting, diarrhea, constipation, or blood in her stool. The patient also endorsed hair loss over the same time period and noted that her previously long hair was now short and thin. On exam, patient was noted to have shoulder-length hair, a soft, non-distended abdomen with mild tenderness to the epigastric region, and a 5cm hard mass palpated at the epigastrium.
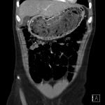
Significant findings:
In the abdominal radiograph, a nonspecific and non-obstructive bowel gas pattern with no air-fluid level was noted, however the stomach was distended with soft tissue. The CT abdomen/pelvis revealed a distended stomach with undigested heterogeneous contents (presumed bezoar).
Discussion:
A bezoar is a mass of incompletely digested material typically originating in the stomach and consisting of vegetable fibers, hair, or drugs.1 Bezoars develop after ingested foreign material accumulates in the gastrointestinal tract due to indigestibility, gastric outlet obstruction, or intestinal stasis. Trichobezoars are comprised of hair and classically form in young females with an underlying psychiatric disorder resulting in the urge to pull one’s hair out (trichotillomania) and swallow it (trichophagia).2,3 Gastric bezoars are rare with an approximate incidence of 0.3 percent of patients undergoing upper endoscopy.4 Patients tend to remain asymptomatic for long periods, but may develop abdominal pain, nausea/vomiting, early satiety, anorexia, and weight loss.5 Complications may include gastrointestinal ulcerations, perforations, intussusception, pancreatitis, obstructive jaundice, and death.6-8 The diagnosis of a gastric bezoar can be made using plain films, ultrasound, or CT, and is confirmed via upper endoscopy.2,9 Management of gastric bezoars should be dictated by its composition and may include chemical dissolution, endoscopic removal, or surgical removal.6,9 Our patient underwent urgent surgical removal of the gastric trichobezoar.
Topics:
Bezoar, trichobezoar, trichotillomania, abdominal pain, GI, x-ray, radiograph, CT scan.
References:
- Williams RS. The fascinating history of bezoars. Med J Aust. 1986;145(11-12):613-614.
- Phillips MR, Zaheer S, Drugas GT. Gastric trichobezoar: case report and literature review. Mayo Clin Proc. 1998;73(7):653-656. doi: 10.1016/S0025-6196(11)64889-1
- Bouwer C, Stein DJ. Trichobezoars in trichotillomania: case report and literature review. Psychosom Med. 1998;60(5):656-660.
- Kadian RS, Rose JF, Mann NS. Gastric bezoars–spontaneous resolution. Am J Gastroenterol. 1978;70(1):79-82.
- DeBakey M, Oshner A. Bezoars and concretions. Surgery. 1938;4(6):934-963.
- Gorter RR, Kneepkens CM, Mattens EC, Aronson DC, Heij HA. Management of trichobezoar: case report and literature review. Pediatr Surg Int. 2010;26(5):457-463. doi: 10.1007/s00383-010-2570-0
- Schreiber H, Filston HC. Obstructive jaundice due to gastric trichobezoar. J Pediatr Surg. 1976;11(1):103-104.
- Ventura DE, Herbella FAM, Schettini ST, Delmonte C. Rapunzel syndrome with a fatal outcome in a neglected child. J Pediatr Surg. 2005;40(10):1665-1667. doi: 10.1016/j.jpedsurg.2005.06.038
- Gerlud D, Guelrud M. Gastric bezoars. In: Fields KB, ed. UpToDate. Waltham, MA: UpToDate Inc. https://www.uptodate.com/contents/gastric-bezoars. Updated December 2015. Accessed November 7, 2016.



