History of present illness:
A 2-year-old boy presented to the Emergency Department with a 2-day history of episodic abdominal pain associated with non-bloody, non-bilious vomiting. His mother reported he would appear fine one moment and then start crying, complaining of pain, and pulling his knees up to his chest. The patient most recently had an episode lasting 10-minutes prior to arrival. Patient without complaint at triage. Examination was initially normal as he was asymptomatic, however, he started to cry and pulled his knees to his chest when the physician was about to leave the room. At that point, he had localized tenderness on the right side of the abdomen and a point-of-care ultrasound was performed. The high frequency linear probe was placed in the area of tenderness.
Significant findings:
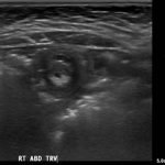
A segment of bowel within the right abdomen that measured approximately 1.6 x 1.5 cm transaxially. It demonstrated a hypoechoic edematous outer loop of bowel (blue arrow) and hyperechoic compressed loop of bowel telescoping within (red star), this is known as the “target sign.”
Discussion:
Intussusception is the invagination or telescoping of part of the intestine into itself. It is the most common cause of intestinal obstruction in children younger than 2 years.1 Ninety-five percent are ileocolic but any part of the small or large intestine can be involved.2 Abdominal pain is the most common symptom.3 Patients classically experience cyclic episodes (10 – 15 minutes) of severe abdominal pain. During these painful episodes, patients are often described as drawing the legs up to the abdomen and screaming in inconsolable pain. Ultrasound is operator dependent, however the sensitivity and specificity for intussusception approaches 100% with an experienced ultrasonographer.4 A good history and physical exam remain important, as the appearance of a “target sign” in the right lower abdomen can also be seen in appendicitis, caused by an appendixwith an appendicolith.
Topics:
Point of Care Ultrasound, POCUS, abdominal pain, ultrasound intussusception.
References:
- Horowitz R. Pediatric abdominal disorders. In: Emergency Medicine. 2nd ed. Philadelphia, PA: Saunders; 2013:185-189.
- Intussusception. In: First Consult. Elsevier. In: https://www.clinicalkey.com/#!/content/clinical_overview/67-s2.0-0c7b78ae-5a56-4f41-b552-be0b768c6b7d. Published September 28, 2007. Updated February 14, 2018. Accessed August 11, 2017
- Maloney P. Gastrointestinal disorders . In: Rosen’s Emergency Medicine: Concepts and Clinical Practice. 9th ed. Philadelphia, PA: Elsevier; 2018:2126-2144.
- Hryhorczuk AL, Strouse PJ. Validation of US as a first-line diagnostic test for assessment of pediatric ileocolic intussusception. Pediatr Radiol. 2009;39:1075.
- Mandeville K, Chien M, Willyerd FA, et al. Intussusception: clinical presentations and imaging characteristics. Pediatr Emerg Care. 2012;28:842.
- Carroll AG, Kavanagh RG, Ni Leidhin C, et al. Comparative Effectiveness of Imaging Modalities for the Diagnosis and Treatment of Intussusception: A Critically Appraised Topic. Acad Radiol. 2017;24:521.
- Harrington L, Connolly B, Hu X, et al. Ultrasonographic and clinical predictors of intussusception. J Pediatr. 1998;132:836.



