ABSTRACT:
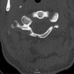
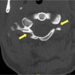
The Jefferson fracture classification system describes fractures of the atlas (first cervical vertebra or C1). Jefferson fractures with potential tears in the transverse ligament can cause cervical spine instability and can result in neurologic injury if not appropriately diagnosed and managed. We present the case of a 54-year-old man who fell head first with cervical spine tenderness and upper extremity paresthesias. The patient’s Jefferson fracture was diagnosed via computed tomography. The patient was then treated non-operatively for his Jefferson fracture, and he had an unremarkable hospitalization. Emergency physicians should obtain surgical consultation and consider the possibility of ligamentous injury in patients suffering injury to the cervical spine.
Topics:
Trauma, orthopedics, neurosurgery, cervical fracture, Jefferson fracture.






