History of present illness:
A 61-year-old female smoker with a history of chronic obstructive pulmonary disease presented to the emergency department with recurrent sinus pain, congestion, and green left-sided nasal discharge for eight months. She denied high fevers, diplopia, severe headache, or neck pain. The patient had tried three different courses of antibiotics in addition to decongestants, none of which relieved her symptoms. Vital signs were within normal limits. Physical exam was remarkable for purulent left-sided nasal discharge, with tenderness over the left maxillary sinus. The patient was edentulous, without proptosis, ophthalmoplegia, periorbital edema, or focal neurologic deficits.
Significant findings:
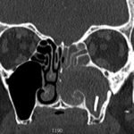
Computed tomography (CT) sinus with contrast demonstrated complete opacification of left paranasal sinuses and nasal cavity, and a linear radiopacity within the left maxillary sinus consistent with a foreign body. There were additional left facial subcutaneous radiopaque opacities.
Discussion:
Acute sinusitis is typically of viral origin, and antibiotics are not indicated. A “watchful waiting” approach is appropriate, and symptomatic treatment with intranasal corticosteroids and saline irrigation is suggested. If symptoms persist beyond 10 days, a bacterial cause is likely, typically S. pneumoniae, H. influenzae, or M. catarrhalis, and antibiotics are warranted.1 Amoxicillin/clavulanic acidor doxycycline cover common pathogens.
In cases of chronic sinusitis that have failed antibiotic therapy, imaging is reasonable to evaluate for underlying etiology.1,2 In one study of 68 patients with unilateral chronic rhinosinusitis who underwent surgery, 11 patients (16%) had an identified object in the maxillary sinus. 10 of these 11 foreign bodies were odontogenic in origin (91%).3 In this case, the patient was prescribed amoxicillin/clavulanic acid, with rapid referral to an otolaryngologist. Subsequent left-sided maxillectomy revealed a piece of irregular brown shiny glass. When asked, the patient had no memory of how this object could have gotten there; given additional subcutaneous hyperdensities noted on CT, trauma is suspected.
Topics:
Chronic rhinosinusitis, foreign body in the maxillary sinus, ENT.
References:
- Chow AW, Benninger MS, Brook I, et al. IDSA clinical practice guideline for acute bacterial rhinosinusitis in children and adults. Clin Infect Dis.2012 Apr;54(8): e72-e112. doi: 10.1093/cid/cir1043
- Scadding GK, Durham SR, Mirakian R, et al. BSACI guidelines for the management of rhinosinusitis and nasal polyposis. Clin Exp Allergy. 2008;38(2):260-275. doi: 10.1111/j.1365-2222.2007.02889.x
- Agusti EB, Puiggros IG, Figuerola CR, Vecina VM. Foreign bodies in maxillary sinus. Acta Otorrinolaringol Esp. 2009;60(3):190-193. doi: 1016/S2173-5735(09)70127-9

