ABSTRACT:
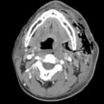
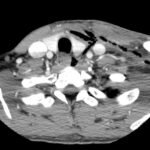
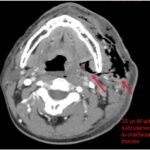
Necrotizing soft tissue infections with mediastinal extension are exceedingly rare. This submission provides dynamic and static visual stimuli (CT images) and a case report describing the history of present illness, initial ED presentation and inpatient course of a 33-year-old man who developed facial necrotizing fasciitis complicated by mediastinitis secondary to odontogenic infection following wisdom tooth extraction. Discussion of the key features of this rare presentation, the diagnostic and therapeutic approaches to making the diagnosis (including CT), and the role of the Emergency Physician, are highlighted.
Topics:
Necrotizing fasciitis, necrotizing mediastinitis, odontogenic infection, CT scan.




