History of present illness:
A 19-year-old male presents to the emergency department with an injury to his right hand that he sustained after punching a tree while intoxicated. The patient had his fingers flexed and wrist extended while he punched the tree. He was able to move his fingers after the event but was complaining of severe pain over the ulnar aspect of the wrist. The patient denies punching someone in the mouth, obviating concern for a “fight bite.” On exam, the ulnar aspect of the dorsum of the right hand appeared grossly deformed and edematous. There were two abrasions over the dorsum of the hand, without exposed bone, lacerations, ecchymosis, or active bleeding. Capillary refill, strength, and sensation were present in all parts of the hand, including radial, ulnar, and median nerve distribution.
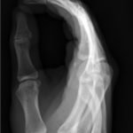
Significant findings:
A two-view radiograph of the right hand was obtained which revealed a dorsal dislocation of the distal fourth and fifth metacarpals (see red and blue outline, respectively) with a concomitant fracture of the distal fifth metacarpal (see yellow line) and avulsion fracture of the lateral aspect of the hamate (see green line). After reduction the fourth and fifth metacarpal dislocations are resolved; however, the distal fifth metacarpal fracture (yellow line) and avulsion fracture of the lateral aspect of the hamate (green line) are still visible.
Discussion:
In a case series including 21 patients, dorsal dislocation of carpometacarpal joints was initially missed in 15 of these cases.1 This is often due to the overall swelling that may mask the ulnar deformity as well as failure to obtain a true lateral X-ray.This is a rare injury because there are many strong supporting ligaments.2 The dislocation requires closed reduction, with application of ventral longitudinal pressure and traction of fourth and fifth digit.3 There is debate amongst hand surgeons if closed reduction followed by casting or open reduction is superior, but there have been no large-scale studies comparing treatment options.4 Post-reduction films were obtained and an ulnar gutter splint was placed. The patient was instructed to follow up with hand surgery in the next week.
Topics:
Dorsal dislocation of carpometacarpal joints, orthopedics, hand fracture, metacarpal fracture.
References:
- Arafa M, Henderson J. Carpometacarpal dislocation; an easily missed diagnosis. Bone and Joint J. 1987;69(2):212-214.
- Letizia MJ, Kociuba MK, Lundy J. Dorsal Dislocation of the Fourth and Fifth Metacarpals. Consultant 360. 2007;47(10).
- Ashkenaze DM, Ruby LK. Metacarpal fractures and dislocations. Orthop Clin North Am. 1992;23(1):19.
- Bora FW Jr, Didizian NH. The treatment of injuries to the carpometacarpal joint of the little finger. J Bone Joint Surg Am.1974;56(7):1459-1463.










