ABSTRACT:
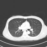
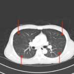
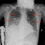
This is a case report of an HIV-positive patient with miliary tuberculosis (MTB). He presents to the emergency department (ED) two-weeks following the initiation of antiretroviral therapy (ART) with worsening cough, fevers, and malaise. The patient was diagnosed with Tuberculosis-Immune Reconstitution Inflammatory Syndrome (TB-IRIS) and subsequently treated with corticosteroids, resulting in clinical improvement over a two-week in-patient hospitalization. This case report details a rare case of TB-IRIS, a clinical diagnosis without universally agreed upon criteria. It also demonstrates a classic miliary pattern of disseminated tuberculosis on chest radiography.
Topics:
Infectious disease, respiratory, tuberculosis, milary tuberculosis.




