An Unusual Case Report of a Toddler with Metastatic Neuroblastoma Mimicking Myasthenia Gravis

ABSTRACT:

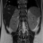
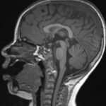
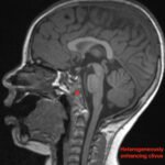
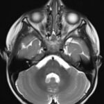
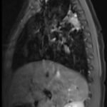
Pediatric neuroblastoma is famously characterized by an abdominal mass in a toddler with “raccoon eyes,” Horner syndrome, and/or opsoclonus myoclonus. However, rare cases may present with non-discrete symptoms and signs which create challenges for timely diagnosis. This case depicts a toddler with bulbar symptoms, including bilateral ptosis, dysphagia, drooling, head tilt and ataxia in a post-viral course mimicking other neurologic diagnoses, including myasthenia gravis. Magnetic resonance imaging (MRI) of the brain and spine uncovered a right adrenal mass along with heterogenous enhancement in multiple vertebral bodies and the clivus, consistent with metastatic disease. A diagnosis of neuroblastoma was confirmed with elevated homovanillic acid (HMA) and vanillylmandelic acid (VMA) levels and adrenal biopsy. The patient was treated with plasmapheresis for suspected paraneoplastic neurological syndrome and subsequent chemotherapy. In this case presentation, we review neurologic syndromes causing acute-onset pediatric bulbar weakness along with the patient’s key MRI findings.

Topics:

Toddler weakness, neuroblastoma, paraneoplastic syndrome.

Scroll to Top