Skip to content
Home
About
Aim and Scope
Our Team
Editorial Board
FAQ
Issues
Current Issue
Ahead of Print
Past Issues
For Authors
Instructions for Authors
Submit to JETem
Photo Consent
Policies
Peer Review Policy
Copyright Policy
Editorial Policy, Ethics and Responsibilities
Conflicts of Interest & Informed Consent
Open Access Policy
For Reviewers
Instructions for JETem Reviewers
Interested in Being a JETem Reviewer?
Topic
Abdominal/Gastroenterology
Administration
Board Review
Cardiology/Vascular
Certifying Exam Cases
Clinical Decision-Making
Prioritization
Communication
Procedure & Ultrasound
Clinical Informatics, Telehealth and Technology
Dermatology
EMS
Endocrine
ENT
Faculty Development
Genitourinary
Geriatrics
Hematology/Oncology
Infectious Disease
Miscellaneous (stats, etc)
Neurology
Ob/Gyn
Ophthalmology
Orthopedics
Pediatrics
Pharmacology
Procedures
Psychiatry
Renal/Electrolytes
Respiratory
Social Determinants of Health
Toxicology
Trauma
Ultrasound
Urology
Wellness
Wilderness
Modality
Contact Us
404 Page
Acceptance Fee
Aim and Scope
Announcements Sidebar
Contact Us
Current Issue
Editorial Board
FAQ
For Reviewers
Instructions for JETem Reviewers
Interested in Being a JETem Reviewer?
Forgot Password
Home
Instructions for Authors
Conflicts of Interest & Informed Consent
Copyright Policy
Editorial Policy, Ethics and Responsibilities
Open Access Policy
Peer Review Policy
Photo Consent
Login
No Access
Our Team
Past Issues
Profile
Registration
Search By Keyword
Search By Modality
Search By Topic
Submit to JETem
Test Quiz
Thumbnail Library
Visual EM
Visual EM Search By Keyword
Visual EM Search By Topic
Visual EM Search By Type
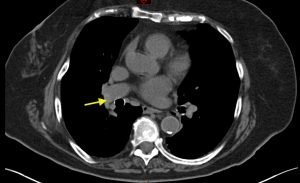
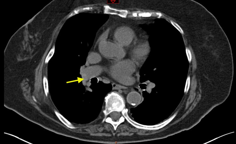
PE, Non-Contrast CT. Image 2. JETem 2017
By
JETem
/
January 2, 2017
Previous
Pulmonary Embolism: Diagnosis by Computerized Tomography without Intravenous Contrast
Scroll to Top