History of present illness:
A 67-year-old man with no past medical history presented to the emergency department with complaints of diffuse abdominal pain, distension, constipation, lack of flatus, diaphoresis, nausea, and vomiting for three days. He denied history of recent trauma. Vital signs were significant only for low-grade fever and tachycardia. Exam revealed a soft, distended abdomen with generalized tenderness to light palpation without peritoneal signs. Prior to computed tomography of the abdomen and pelvis, bedside ultrasound of the abdomen was performed.
Significant findings:
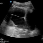
Bedside ultrasound revealed a large volume of free fluid in the right upper quadrant and in the pelvis. The fluid appeared complex with multiple septations. Its appearance was not consistent with ascites or acute intra-abdominal free fluid due to striations and pockets.
Discussion:
The patient was taken to the operating room and found to have a 2 cm pre-pyloric gastric perforation and 3-4 liters of pus in the abdomen. Severe intra-abdominal infections as was found in this patient carry a mortality rate of 30-50%.1 In the absence of pneumoperitoneum found on plain films, bedside ultrasound can be used to confirm intestinal paresis and intraperitoneal fluid suggesting a perforated viscous.2 It can also be used with greater sensitivity than radiography (93% vs 79%) to detect pneumoperitoneum itself.3 While computed tomography remains the gold standard for diagnosing intra-abdominal abscesses, bedside ultrasound offers a rapid alternative diagnostic modality that can be particularly useful in the hemodynamically unstable patient. The sensitivity of ultrasound for spontaneous (not post-operative) intra-abdominal abscess is 92% with increased sensitivity for finding abscesses located in the right and left upper quadrant and in the pelvis.4 Although bedside ultrasound was unable to diagnose gastric perforation as the specific etiology for the patient’s intra-abdominal abscess, it provided more than ample information to justify an emergent and most likely life-saving exploratory laparotomy.
Topics:
Peptic ulcer, perforation, intra-abdominal abscess, bedside ultrasonography, GI.
References:
- Marshall JC. Intra-abdominal infections. Microbes Infect. 2004;6(11):1015-1025. doi: 10.1016/j.micinf.2004.05.017
- Grassi R, Romano S, Pinto A, Romano L. Gastro-duodenal perforations: conventional plain film, US and CT findings in 166 consecutive patients. Eur J Radiol. 2004;50(1):30-6. doi: 10.1016/j.ejrad.2003.11.012
- Chen SC, Wang HP, Chen WJ, Lin FY, Hsu CY, Chang KJ, et al. Selective use of ultrasonography for the detection of pneumoperitoneum. Acad Emerg Med. 2002;9(6):643-5. doi: 10.1197/aemj.9.6.643
- Frank W, Jantsch H, Kumpan W, Lechner G, Pichler W. The accuracy of ultrasound in the diagnosis of intra-abdominal abscess formations. Rofo. 1986;145(6):692-697. doi: 10/1055/s-2008-1049017






