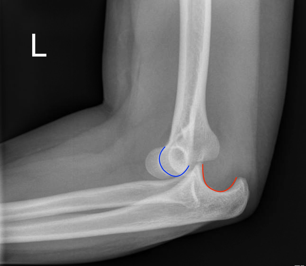
Posterior Elbow Dislocation, Lateral XRay, dislocated, Annotated. JETem 2016

Creative Commons images

Scroll to Top