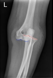
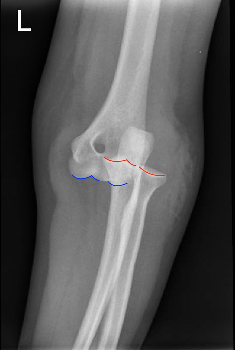
Posterior Elbow Dislocation, Oblique XRay, dislocated, Annotated. JETem 2016

Creative Commons images

Scroll to Top