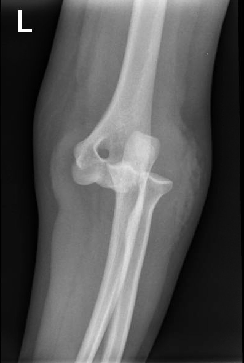
Posterior Elbow Dislocation, Oblique XRay, dislocated. JETem 2016

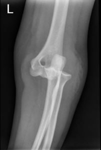
Posterior Elbow Dislocation, Oblique XRay, dislocated. JETem 2016

Scroll to Top