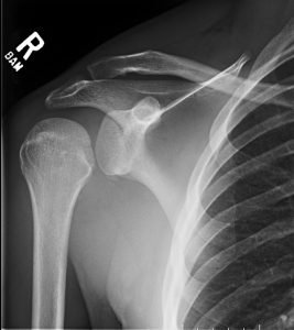
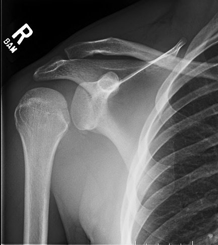
Posterior Shoulder Dislocation, AP XR. JETem 2017

Creative Commons images

Scroll to Top