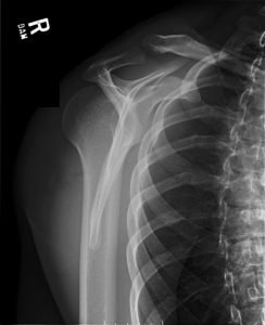
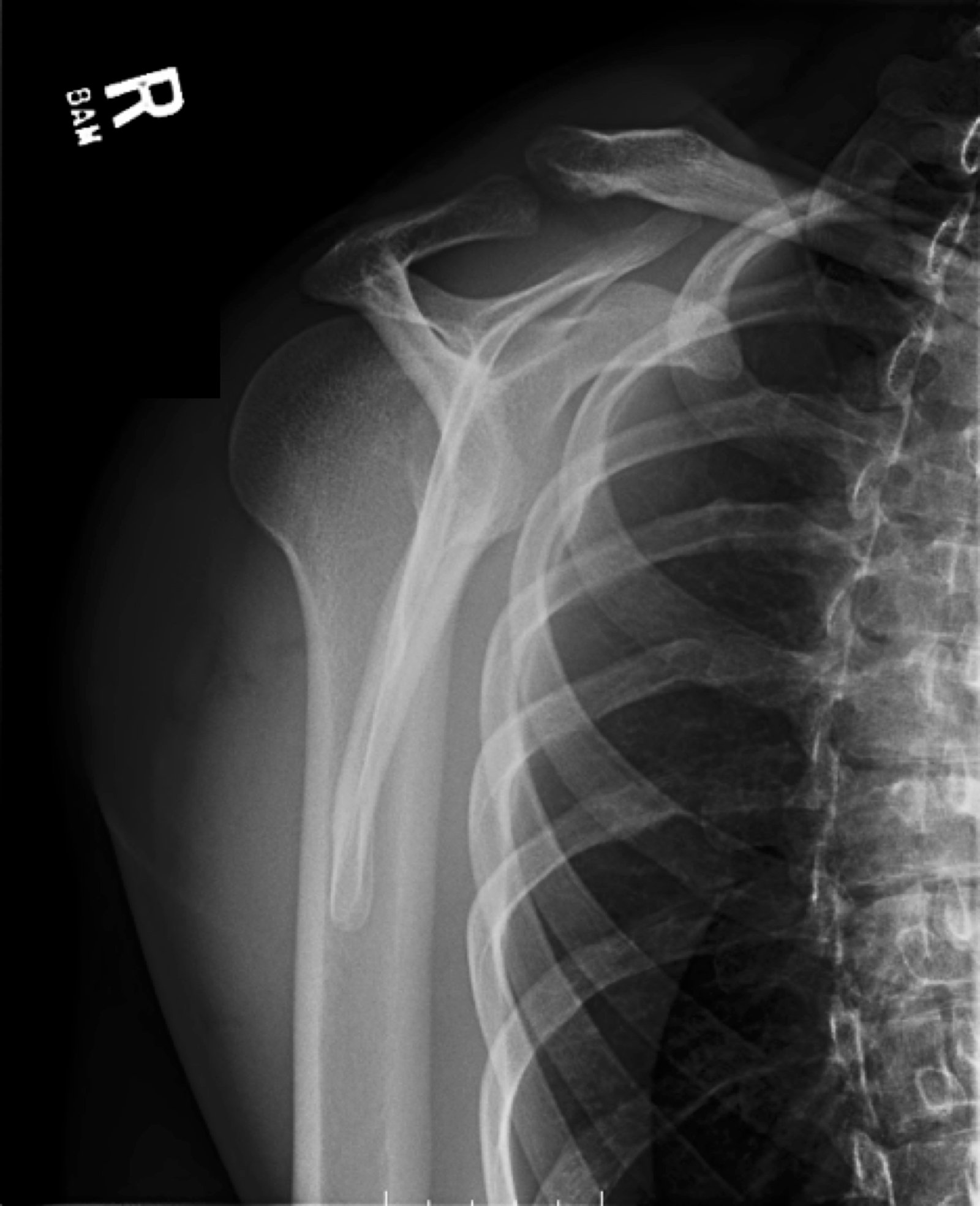
Posterior Shoulder Dislocation, Y View XR. JETem 2017

Creative Commons images

Scroll to Top