ABSTRACT:
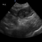
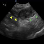
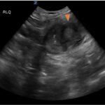
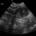
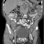
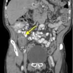
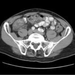
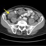
Small bowel diverticulitis is an uncommon subset of acute diverticulitis and can mimic many other intra-abdominal processes. As a result, imaging modalities such as ultrasound and computed tomography (CT) scan are especially important for timely recognition of diverticulitis and can expedite diagnosis and treatment and reduce complications. In the case described in this report, an 81-year-old male with history of esophageal cancer and recurrent diverticulitis with history of multiple bowel resections presented to the emergency department (ED) with right lower quadrant abdominal pain and constipation. Findings on ultrasound were suggestive of diverticulitis, and findings on CT of the abdomen and pelvis showed ileitis with phlegmon and micro-abscess suspicious for small bowel diverticulitis. ED providers should familiarize themselves with ultrasound findings of diverticulitis and be aware that diverticulitis can also present in the small bowel. Treatment of small bowel diverticulitis is similar to colonic diverticulitis.
Topics:
Ileitis, small bowel diverticulitis, abdominal ultrasound.








