Subcutaneous Emphysema in Non-Necrotizing Soft Tissue Injury

History of present illness:

63-year-old male with a history of diabetes mellitus and rheumatoid arthritis who was sent to the emergency department by his primary care provider for further evaluation of left upper extremity crepitus. The patient fell onto his left elbow two days prior to presentation resulting in immediate swelling and a small laceration. He complained of minimal pain and denied fevers or chills. His medications included metformin, tocilizumab, methotrexate and prednisone.

In the ED, the patient was well-appearing, afebrile, with a normal heart rate and in no acute distress. Examination of the left upper extremity revealed no tenderness to palpation but marked crepitus with a scabbed laceration over his olecranon process and was neurovascularly intact. White blood cell count (WBC), sodium, glucose, inflammatory markers and lactate were all within normal limits.

Significant findings:

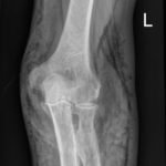
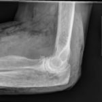
X-Rays of the elbow revealed diffuse striated lucencies throughout the soft tissue, consistent with extensive subcutaneous air throughout the superficial and deep tissues. There was no evidence of a fracture.

Discussion:

The initiating mechanism for necrotizing soft tissue infections (NSTIs) is a disruption of the fascial planes, most commonly by trauma. The inoculated bacteria rapidly spread and surgical debridement is necessary.1-3 Early recognition and disposition to the operating room in < 12 hours markedly decreases complications and mortality.Immunocompromised states, a history of diabetes, and age > 51 are correlated with increased morbidity and mortality.5  Additionally, it has been found that immunocompromised patients exhibit atypical presentations of NSTIs.6  The Laboratory Risk Indicator for Necrotizing Fasciitis (LRINEC) score is often used to risk stratify patients when there is suspicion for an NSTI.7

The patient discussed here had a LRINEC score of 0. However, the physical exam finding of crepitus, coupled with his history of immunocompromised status and subcutaneous air on X-ray made the diagnosis of NSTI seem likely. However, upon surgical exploration there was no evidence of a NSTI. The most likely mechanism for the subcutaneous air found on this X-ray was that the wound at the elbow acted as a one-way valve for air to enter and collect within the soft tissues. This case is an example of how clinical suspicion and diagnostic scores may not align. Regardless, it is important to keep in mind the clinical picture when deciding to contact consultants. It is recommended, as demonstrated in this case, to obtain a surgical consultation when clinical suspicion is high for a life-threatening diagnosis despite a low risk based on a decision score. It is best to keep in mind that a low LRINEC score does not exclude the diagnosis and that if there is a high suspicion for a NSTI a surgeon should be consulted prior to calculation of a LRINEC score.

Topics:

Necrotizing soft tissue infections, immunocompromised states, LRINEC score.

References:

  1. Kaul R, Mcgeer A, Low DE, Green K, Schwartz B. Population-based surveillance for group A streptococcal necrotizing fasciitis: Clinical features, prognostic indicators, and microbiologic analysis of seventy-seven cases. Ontario Group A Streptococcal Study. Am J Med. 1997;103(1):18-24. doi: 10.1016/S0002-9343(97)00160-5
  2. Salcido RS. Necrotizing fasciitis: reviewing the causes and treatment strategies. Adv Skin Wound Care. 2007;20(5):288-93. doi: 10.1097/01.ASW.0000269317.76380.3b
  3. Misiakos EP, Bagias G, Patapis P, Sotiropoulos D, Kanavidis P, Machairas A. Current concepts in the management of necrotizing fasciitis. Front Surg. 2014;1:36. doi: 10.3389/fsurg.2014.00036
  4. Kobayashi L, Konstantinidis A, Shackelford S, Chan LS, Talving P, Inaba K, et al. Necrotizing soft tissue infections: delayed surgical treatment is associated with increased number of surgical debridements and morbidity. J Trauma. 2011;71(5):1400-5. doi: 10.1097/TA.0b013e31820db8fd
  5. Golger A, Ching S, Goldsmith CH, Pennie RA, Bain JR. Mortality in patients with necrotizing fasciitis. Plast Reconstr Surg. 2007;119(6):1803-7. doi: 10.1097/01.prs.0000259040.71478.27
  6. Keung EZ, Liu X, Nuzhad A, Adams C, Ashley SW, Askari R. Immunocompromised status in patients with necrotizing soft-tissue infection. JAMA Surg. 2013;148(5):419-26. doi: 10.1001/jamasurg.2013.173
  7. Wong CH, Khin LW, Heng KS, Tan KC, Low CO. The LRINEC (Laboratory Risk Indicator for Necrotizing Fasciitis) score: a tool for distinguishing necrotizing fasciitis from other soft tissue infections. Crit Care Med. 2004;32(7):1535-41.
Scroll to Top