Posterior Elbow Dislocation

History of present illness:

A 15-year old female presented with left elbow pain. While competing in a high school wrestling match, she extended her left arm to brace a fall and had immediate onset of sharp pain. She denied weakness or numbness of her left arm. She had no past medical history.

Significant findings:

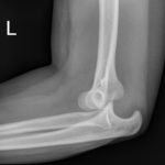
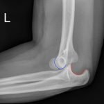
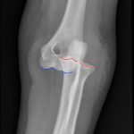
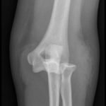
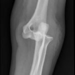
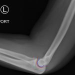
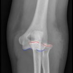
Elbow dislocations are classified by the position of the radio-ulnar joint relative to the humerus.1 Images 1, 2, and 3 show a left posterior elbow dislocation; the radius and ulna are displaced posteriorly with respect to the distal humerus. The lateral view of the elbow most clearly shows this: trochlear notch of the ulna is empty and displaced posteriorly relative to the trochlea. There is no associated fracture. Images 4 and 5 show the elbow status-post reduction, demonstrating proper alignment of the distal humerus with the radius and ulna.

Discussion:

Traumatic dislocations of the elbow are relatively uncommon in pediatric patients, with a peak incidence at 13 to 14 years.1 Dislocations are usually posterior and occur after forced abduction and extension of the elbow.1 It is important to evaluate for an associated fracture or avulsion, which occurs in over 50% of pediatric elbow dislocations. Fractures most commonly involve the medial epicondyle, radial head and neck, or coronoid process.1 One should also consider a neurovascular injury to the ulnar or median nerve or to the brachial artery or its branches.1

Posterior elbow dislocations should be reduced as soon as possible.1 Patients should receive adequate sedation and/or analgesia. One method of reduction is the “puller” technique, during which a practitioner stabilizes the humerus, while a second practitioner applies force against the anterior forearm, with gentle traction distally.1 Post-reduction neurovascular reassessment is important. After successful reduction, patients can be immobilized in a posterior long arm splint.

Topics:

Orthopedics, ortho, elbow dislocation, elbow injury, upper extremity, posterior elbow dislocation

References:

  1. Stans, AA. Dislocations of the elbows. In: Beaty JH, Kasser JR, eds. Rockwood and Wilkins’ Fractures in Children. 7th Philadelphia: Wolters Kluwer; 2010:594-601.
Scroll to Top